Lip (human), mucous inner surface

Title Lip (human), mucous inner surface
Creator Poels, Lambert G.
Contributor Lambert G. Poels, PhD, UMC St Radboud Nijmegen Paul H. K. Jap, PhD, UMC St Radboud Nijmegen
Subject oral cavity; lining mucosa
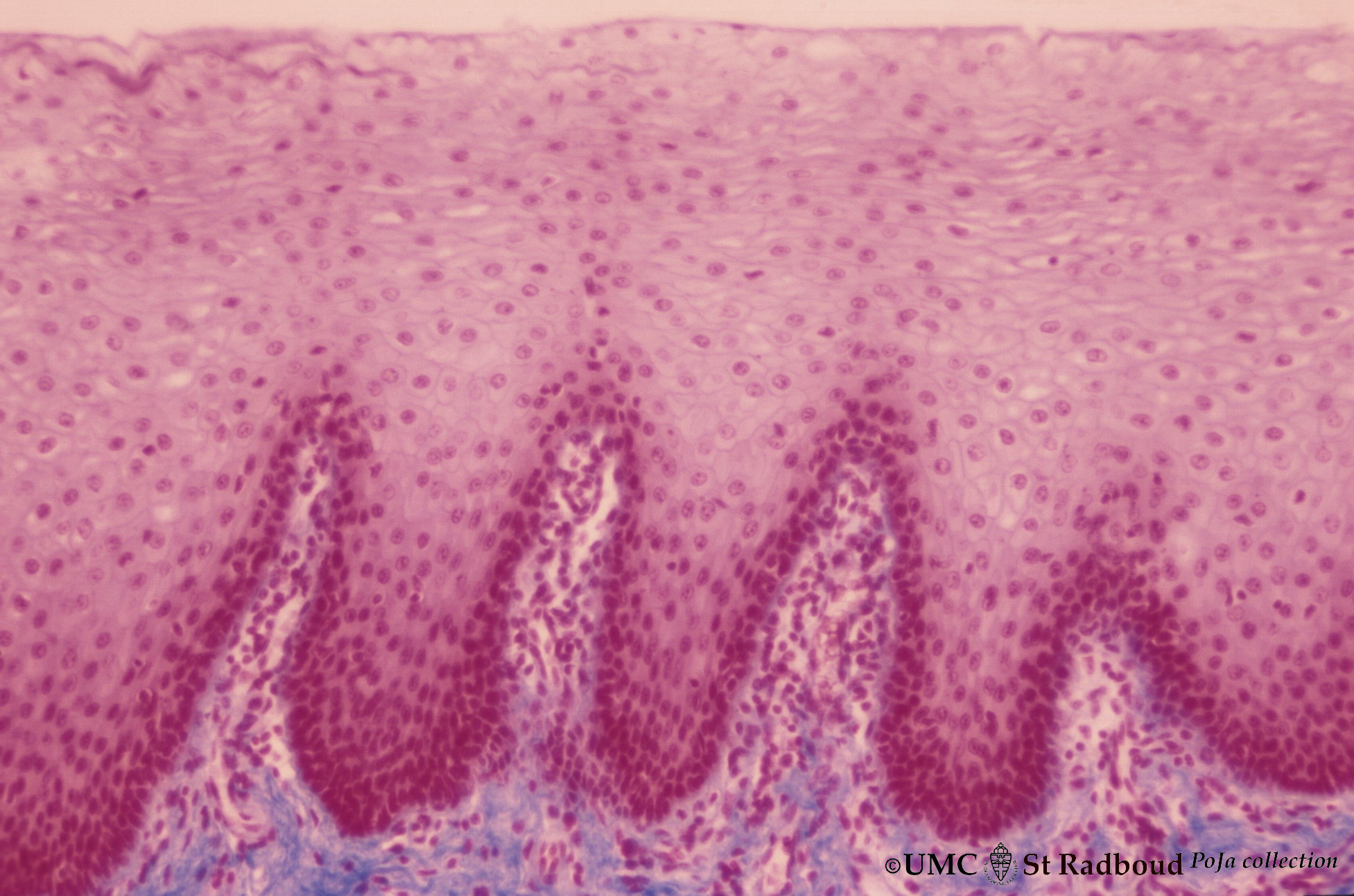
Description Stain: Azan. Non-keratinized epithelium with high, narrow dermal papillae and many capillaries. Note lymphocytic infiltrates and the capillaries in the dermal papillae.
Subtype Image
Format image/jpeg
Rights http://creativecommons.org/licenses/by-nc-nd/2.5/
Collection Poja Histology Collection - Oral Cavity Subset
ARK ark:/87278/s6m077hc
Setname ehsl_heal
ID 889268
Reference URL https://collections.lib.utah.edu/ark:/87278/s6m077hc
Back to Search Results