Coiled Aneurysm with IC Occlusion - SP32-20061216 - 015

Identifier Coiled_Aneurysm_with_IC_Occlusion_-_SP32-20061216_-_015
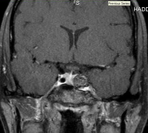
Title Coiled Aneurysm with IC Occlusion - SP32-20061216 - 015
Creator Neil R. Miller, MD
Affiliation Professor Emeritus of Ophthalmology, Johns Hopkins School of Medicine, Baltimore, MD
Subject Aneurysm; Occlusion
Description Imaging of coiled aneurysm with IC occlusion.
Date 2006-12-16
Format image/jpeg
Collection Neuro-Ophthalmology Virtual Education Library: Neil R. Miller Collection: https://novel.utah.edu/collection/neil-r-miller/
Publisher North American Neuro-Ophthalmology Society
Holding Institution Spencer S. Eccles Health Sciences Library, University of Utah
Rights Management Copyright 2024. For further information regarding the rights to this collection, please visit: https://NOVEL.utah.edu/about/copyright
ARK ark:/87278/s6sn2n6a
Setname ehsl_novel_nrm
ID 2514363
Reference URL https://collections.lib.utah.edu/ark:/87278/s6sn2n6a
Back to Search Results