Title | Hand X-ray |
Publisher | Rennert Juvenile Rheumatoid Arthritis Images |
Date | 1999-01-01 |
Subject | Polyarticular Juvenile Rheumatoid Arthritis |
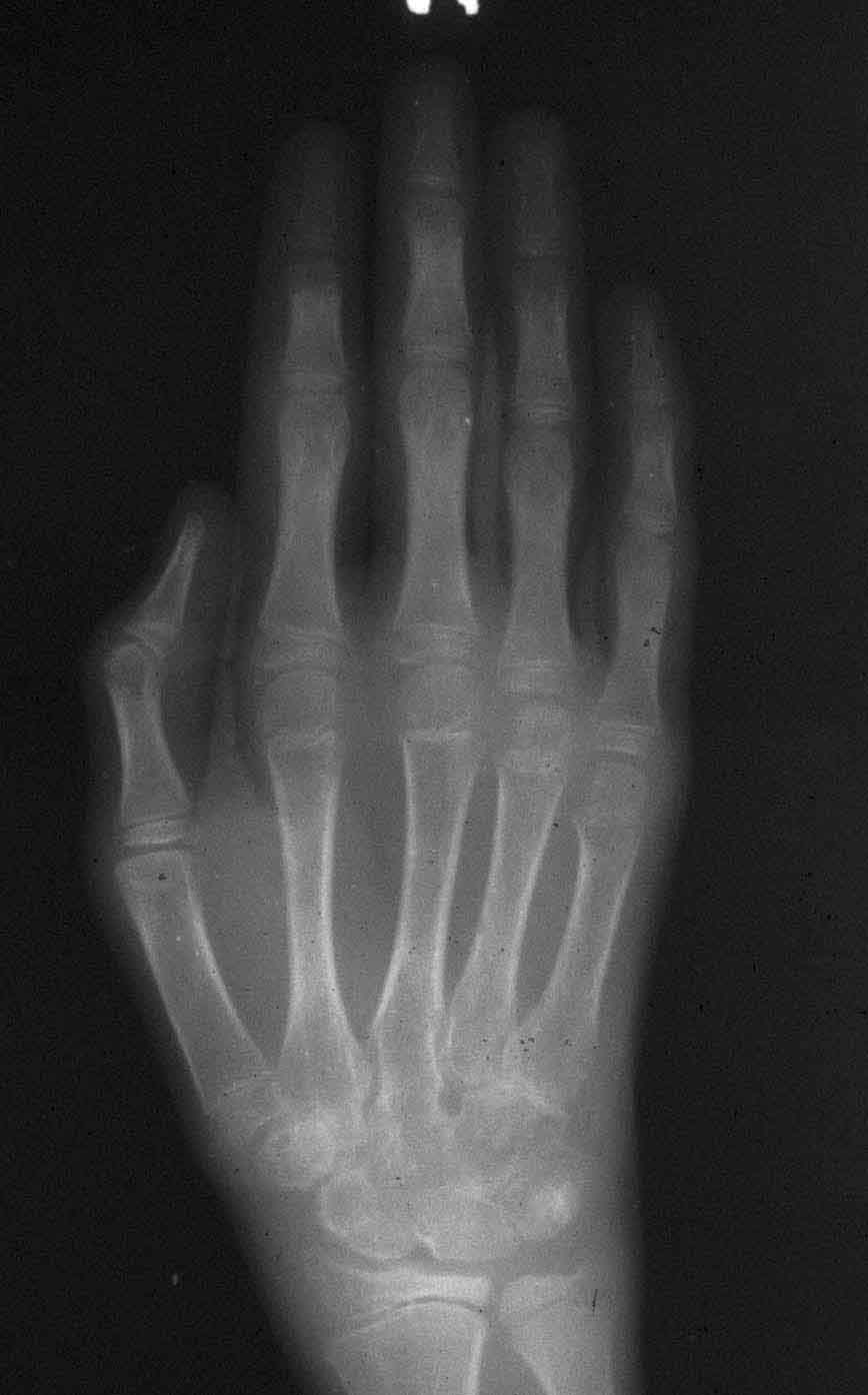
Description | This radiograph of a child's hand with advanced polyarticular JRA shows subarticular osteopenia and fusion of the metacarpal bones. |
Subtype | Image |
Format | image/jpeg |
Rights | http://creativecommons.org/licenses/by-nd-nc/1.0/ |
Collection | HEAL Reviewed Collection |
ARK | ark:/87278/s67976v4 |
Setname | ehsl_heal |
ID | 890339 |
Reference URL | https://collections.lib.utah.edu/ark:/87278/s67976v4 |